Förbättring av framtandsestetiken med helkeramiska restaurationer
Skiktningsfria zirkoniumdioxidmaterial maskerar endodontiska pelare samtidigt som de ger styrka och naturlig translucens.

De påtvingade nedstängningarna och reglerna för social distansering under COVID-19 pandemin, gjorde att miljontals anställda fick lämna sina arbetsplatser för att arbeta på distans hemma. Eftersom den trenden fortsatte under 2022, ersattes möten ansikte mot ansikte på kontor och klassrum, på seminarier och mässor av virtuella möten, videokonferenser på distans och videosamtal genom högupplösta datorkameror. Virtuella interaktioner i stället för personliga möten har blivit det nya normala.1
När både kvinnor och män spenderar timmar varje dag med att stirra på sina egna ansikten på datorskärmar, fokuserar många fler på hur de ser ut,2 särskilt på sina leenden. Dessutom har det alltid funnits ett starkt samband mellan vårt yttre och den inre känslan av hälsa och välmående som gör att vi vill ge en positiv bild till alla vi kommunicerar med. Till detta har sociala medier i alla dess former påverkat uppfattning om leendets estetik och har ökat efterfrågan på tandbehandlingar för att öka vitaliteten i patienternas leenden. 3, 4
Fallstudie
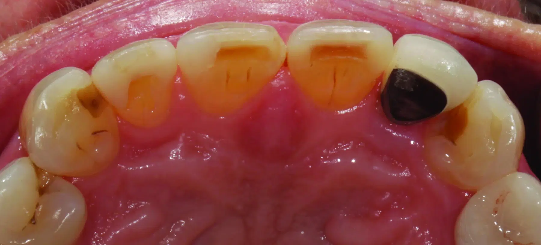
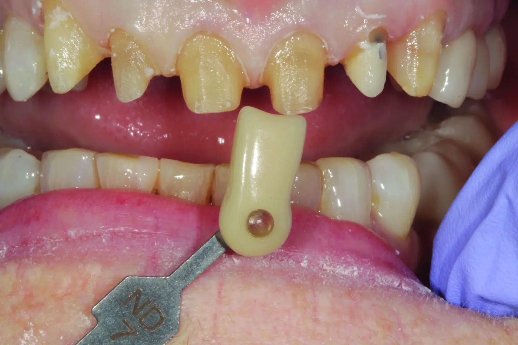
En, sedan många år tillbaka, kvinnlig patient, nu i tidig 70-års ålder kom till praktiken, missnöjd med oestetisk färg och form på tand nr 22 (bild 1). Många år tidigare hade tanden blivit endodontiskt behandlad. En metallpelare hade cementerats för att bygga upp och stärka tanden inför en metallkeramisk krona (bild 2), som utformades så att den skulle maskera stiftets färg. Vid undersökningen påtalade tandläkaren att den mesiala ytan på tand 11 hade flisats av. Han föreslog att den tanden också skulle behandlas, tillsammans med missfärgningarna på tänderna 12 och 21 (bild 3). Den rekommenderade behandlingsplanen innebar att förse tänderna 11-13 och 21-23 med helkeramiska restaurationer. Efter att patienten hade gått med på behandlingsförslaget och innan behandlingen satte i gång, tog tandläkaren en serie extra- och intraorala bilder för kommunikationen med det tandtekniska laboratoriet. Vid behandlingstillfället bedövades patienten och kronan på 22 togs bort och tänderna 11-13 och 21- 23 preparerades för helanatomiska kronor. För att kommunicera pelarfärgen till laboratoriet, fotograferades preparationerna med ett färgprov (IPS Natural Die Material Shade Guide ND7, Ivoclar) (bild 4) och skannades digitalt (Trios 4, 3Shape). Temporära restaurationer framställdes med en prefabricerad skena som hade tillverkats efter starttillfällets diagnostiska design (PerfecTemp II, DenMat).
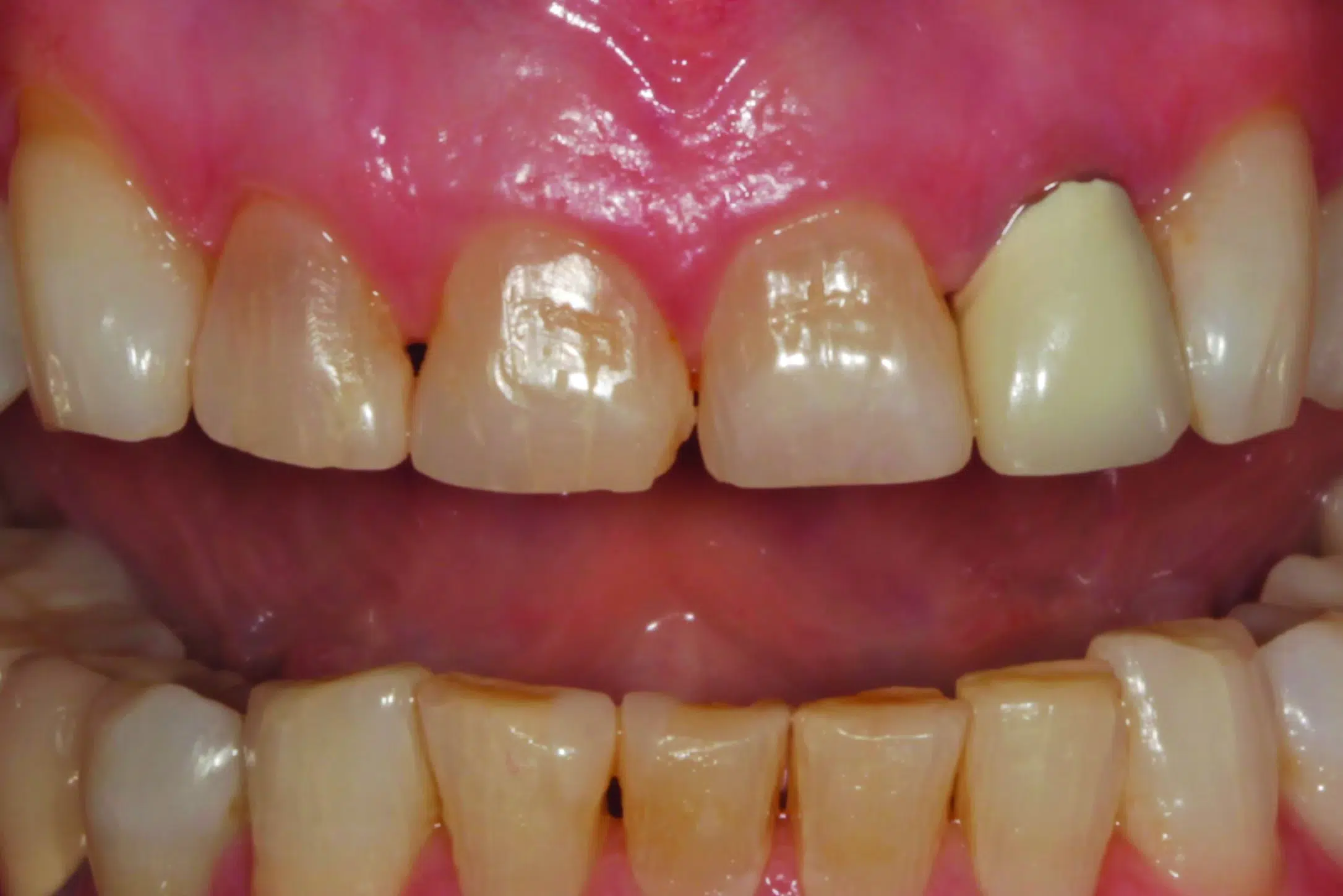
Efter att de provisoriska restaurationerna hade fått sitta i några veckor, meddelade patienten att hon var nöjd med funktionen och estetiken.
- (1.) Utgångsläge helansiktes bild på patient med oestetisk tand 22.
- (2.) Utgångsläge palatinal bild på överkäkens anteriora tänder. Tand 22 endodontiskt behandlad och försedd med en metallpelare och metallkeramisk krona.
- (3.) Intraoral närbild med lätt öppen mun och tänderna isär. Flisa och missfärgning på tand 11 och missfärgningar på 12 och 21. Den rekommenderade behandlingsplanen var att restaurera tänderna 11-13 och 21-23 med helkeramiska kronor.
- (4.) De preparerade tänderna fotograferades tillsammans med ett färgprov för att kommunicera pelarfärgen med laboratoriet.
På det tandtekniska laboratoriet
Ett foto på en leende patient som tittade rakt in i kameran, laddades upp i CAD-mjukvaran (3Shape Dental Designer Premium, 3Shape). Med hjälp av mjukvarans verktyg kunde den interpupillära och vågräta mittlinjen fastställas. Fotot kunde på så sätt orienteras i rätt position i ansiktet och anpassas till den estetiska helheten. Vid detta tillfälle upptäckte tandläkaren en lätt lutning i de provisoriska restaurationerna som kunde korrigeras. En skanning av de provisoriska restaurationerna riktades in till fotografiet och en skanning av den digitala modellen lades ovanpå för att säkerställa rätt inriktning. Sedan fastställdes translucensgränsen på fotografiet genom att en linje drogs runt den inre läpplinjen. Detta gjorde att den föreslagna 3D digitala utformningen kunde skina igenom och harmonin mellan övre och under ansiktshalva kunde bekräftas. (bild 5).
Skanningen av de provisoriska restaurationerna användes som riktlinje till utformningen av form, storlek och läge på de helkeramiska restaurationerna samt för att utvärdera olika ytstrukturer för att kunna skapa translucens och lägga till individuella karaktäriseringar (bild 6). När den slutliga designen var klar, importerades den till CAD mjukvarans dynamiska virtuella artikulator för utvärdering av funktionen. För att kunna göra detta var det viktigt att välja ett restaurationsmaterial som hade förmågan att maskera pelaren och kärnan på den endodontiskt behandlade tanden samtidigt som maximal translucens och estetik uppnåddes. Tandteknikern valde att använda ett nytt restaurationsmaterial av zirkoniumdioxid med hög styrka (IPS e.max ZirCAD Prime Esthetic, Ivoclar) eftersom dess osynliga övergång av färg och translucens gav koordinerad opacitet i det cervikala området med en hög nivå av translucens i det incisala området för optimal estetik med 850 MPa styrka.
Efter att materialvalet hade bekräftats, frästes sex helanatomiska kronor (PrograMill PM7, Ivoclar) med diskret ytstruktur och infärgades med infiltrationsvätskor (IPS e.max ZirCAD Colouring Liquids). Efter sintringen målades restaurationerna (IPS Ivocolor, Ivoclar) och karaktäriserades individuellt och glaserades (Bild 7). De färdiga restaurationerna uppvisar naturlig translucens och en osynlig övergång från dentin till emalj (Bild 8).
- (5.) En linje som definierade munhålan drogs för att skapa en transparent zon för att kunna utvärdera den föreslagna restaurationen.
- (6.) Skanningen av de provisoriska restaurationerna användes som guide för formen och läget på de färdiga restaurationerna.
- (7.) Sex helanatomiska kronor frästes med diskret ytstruktur så att de osintrade restaurationerna kunde färgas in individuellt med infiltrationsvätskor. Efter sintringen blev kronorna individuellt karaktäriserade med målningsteknik.
- (8.) De färdiga målade och glaserade restaurationerna uppvisad en naturlig translucens och en osynlig övergång från dentin till emalj.

(9.) Helporträtt efter behandling.
Inprovning och cementering
Efter att tandläkaren hade bedövat patienten och provat restaurationerna för att utvärdera funktion och estetik rengjordes varje krona och cementerades med resinmodiferat glasjonomercement (RelyX Luting Plus, 3M). Patienten sa att hon var mycket nöjd med resultatet (bild 9 and bild 10).
- J.A. REYNOLDS, DDS Accredited Member American Academy of Cosmetic Dentistry Private Practice Franklin, Tennessee
- MATT ROBERTS, CDT Accredited Member American Academy of Cosmetic Dentistry Owner CMR Dental Laboratory Idaho Falls, Idaho
Referenser:
- Saad L, Wigert B. Remote work persisting and trending permanent. Gallup website. https://news.gallup.com/poll/355907/remote-work-persisting-trending-permanent.aspx. Published October 13, 2021. Accessed November 24, 2021.2. Valenti L. How staring at our faces on zoom is impacting our self-image. Vogue website. https://www.vogue.com/article/body-dysmorphia-zoom-face. Published Augusts 3, 2020. Accessed November 24, 2021.3. McMahon S. Selfie culture, young adults, and cosmetic dentistry: dysmorphia creates new aesthetic demands from teenagers and young adults. Dentistry Today. 2021;40(4).4. Theobald A, Wong B, Quick A, Thomson M. The impact of the popular media on cosmetic dentistry. N Z Dent J. 2006;102(3):58-63.
Källa: Ivoclar















