Denna artikel är en annons och utgör inte en del av Dental24s redaktionella innehåll.
Minimalinvasiv behandling med det nya protokollet Prettau® Skin®
Fallrapport om en 27-årig patient som krävde minimalinvasiv restauration av tand 21 och estetisk justering av tand 11.
En 27-årig patient hade förlorat den incisala delen av tand 21 vid 11 års ålder till följd av en olycka under en idrottsaktivitet. Den saknade delen hade ersatts med en plastfyllning som med tiden missfärgades och ersattes av en skalfasad av litiumdisilikat som applicerades utan tandpreparation. Skalfasaden var för mörk och hade en för hög genomskinlighet. Av detta skäl var patienten aldrig helt nöjd med restaurationen. Med tiden exponerades även en fördjupning i gingiva i övergången mellan skalfasadens kant och tanden. Av dessa skäl sökte patienten upp tandläkaren nio år senare och önskade en ny estetisk lösning för framtanden (1). Det primära målet för det tekniska och kliniska teamet var att ändra den befintliga funktionen så lite som möjligt och/eller att uppnå icke-invasivitet och en funktionellt idealisk situation. Dessutom behövde de två centrala incisorerna anpassas symmetriskt både i form och färg för att överensstämma med färgen på patientens naturliga tänder.

1
Under patientens första besök utförde tandläkaren parodontala och radiologiska diagnostiska bedömningar och dokumenterade situationen med hjälp av patientfoton, ansiktsscanningar i 3D, röntgendata, video av patientens tal samt intraorala scanningar (2, 3a, 3b). Även patientspecifik ocklusal information registrerades med hjälp av PlaneSystem® (Udo Plaster, Tyskland). Inhämtade data användes inte bara för dokumentation, utan även för att tillverka en modell på tandteknikerlaboratoriet (4,5). Modellen hade stor didaktisk, diagnostisk och klinisk betydelse och spelade en viktig roll i kommunikationen mellan tandläkare, tandtekniker och patienten. Den innebär även att en förutsägbar bedömning av estetik och funktion kunde utföras genom att simulera det förväntade slutresultatet. Under modellens utformningsfas skapades en virtuell blockering för att fastställa korrekt insättningsriktning av modellen. I den här fasen kunde diagnostiska aspekter med avseende på situation i gingiva också inkluderas vid behov. Om en lokal eller mer omfattande gingivoplastik eller gingivektomi var nödvändig kunde den integreras i modellen, som även kunde utformas som en tillfällig cementerad protetik. I det aktuella fallet inkluderades tand 12 och 22 i utformningen av modellen för att öka stabiliteten i patientens mun.
- 2
- 3a
- 3b
- 4

5
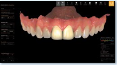
Tandläkaren tog bort den befintliga skalfasaden av litiumdisilikat från tand 21 och tanden reducerades minimalt i buckala och interdentala områden för att undvika en omfattande formning av de centrala incisorerna, men framför allt för att göra axeln och tandformen symmetriska. En intraoral scanning av den faktiska situationen utfördes och denna skickades till tandteknikerlaboratoriet. Därefter utformades de två skalfasaderna för tand 21 och 11 (6, 7). Dessa kontrollerades funktionellt med den virtuella artikulatorn PS1 och frästes. Under en tidigare fas hos tandläkaren utsågs, med hjälp av den speciella Zirkonzahn Shade Guide Prettau® Line (8), som består av monolitiska provtänder av zirkoniumdioxid som reproducerar den slutliga restaurationen, Prettau® 4 Anterior® Dispersive® zirkoniumdioxid som det mest lämpliga materialet för restaurationen. Materialet som kännetecknas av en mycket hög genomskinlighet finns redan med en naturlig färggradient. Men för ett ännu mer individuellt estetiskt resultat karaktäriserades skalfasaderna manuellt med färg och fick ett minimalt skikt av Fresco Enamel Fluo Cermics.
- 6
- 7

8
Både inprovningssteg och slutliga cementeringssteg var extremt krävande: inga stora krafter fick appliceras på skalfasaderna för att förhindra en risk för (osynliga) sprickor eller fissurer på ytan, vilka senare kan leda till frakturer. Under inprovningen kontrollerades estetiska, mekaniska och funktionella aspekter efter en checklista och med hjälp av olika material (vattenlöslig inprovningspasta, glycerin, GC Fit Checker, ocklusionsfolie och Shimstock-folie). Slutligen utfördes preparation av skalfasaderna samt adhesiv cementering noggrant med hjälp av det dokumenterade tekniska och kliniska protokollet Prettau® Skin®, utvecklat av Zirkonzahn (arbetsprotokollet omfattar testade parametrar från rengöring och isolering av arbetsområdet, preparation av tand och skalfasader, bondingpreparation och applicering till härdning) (9, 10). Cementering utfördes enligt Zirkonzahns testade förfarande med Estecem II-pasta (baserat på Zirkonzahns forskning och studier, används Estecem II-cement från Tokuyama Dental Deutschland GmbH för närvarande för detta arbetsprotokoll. Oavsett vilken cementeringspasta som används är det viktigt att MDP inkluderas i åtminstone primern för att säkerställa en kemisk bonding till zirkoniumdioxid).
- 9
- 10
Det finns internationella kurser för utbildning i Prettau® Skin®. Här får tandtekniker och tandläkare utbildning i hela arbetsflödet och användning av rätt parametrar med fokus på både kliniska och tekniska förfaranden. För mer information och registrering kontakta Barbara Schwingshackl, T +39 0474 06 6721, barbara.schwingshackl@zirkonzahn.com.
Tillgängliga datum 2023:
18–19 september för tandläkare och 22–23 juni och 14–15 september för tandtekniker.
Läs programmet för tandtekniker
Källa: Zirkonzahn







