Denna artikel är en annons och utgör inte en del av Dental24s redaktionella innehåll.
Ett säkert tillvägagångssätt för en komplett restauration
Arbetsflöde som omfattar flera kontrollsteg, bland annat modeller, röntgen och temporära restaurationer för att uppnå maximal funktion. Fallrapport om en patient med slitna tänder till följd av parafunktionell aktivitet.
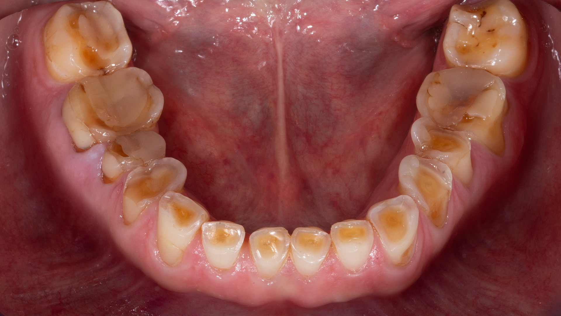
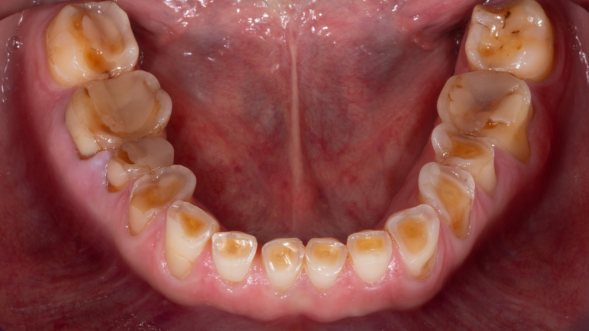
Patienten, som hade nerslitna tänder till följd av parafunktionell aktivitet, önskade en komplett rehabilitering för att återställa sitt leende. Tandläkaren digitaliserade den orala situationen med hjälp av den intraorala scannern, tog fotorealistiska 3D-bilder av ansiktet med scannern Face Hunter och skickade samtliga data till tandteknikerlaboratoriet. Ett säkert tillvägagångssätt användes för att säkerställa den bästa möjliga behandlingen för patienten, vilket innefattade ett arbetsflöde med tre separata kontrollsteg innan den slutliga restaurationen av zirkoniumdioxid framställdes.

Patienten artikulerades i 3D i programvaran med hjälp av de digitala patientdata som tandläkaren inhämtat (intraorala scanningar och ansiktsscanningar i 3D).
Första kontrollsteget
Baserat på materialet utformade tandteknikern två modeller, en för överkäken och en för underkäken, i programvaran Zirkonzahn.Modifier. Användning av modeller som kontrollsteg är värdefullt oavsett typ av tandvård. Modeller (mock-up) är kostnadseffektiva, icke-invasiva och effektiva för att kontrollera behandlingen intraoralt och de förbättrar patientens erfarenhet och bedömning av restaurationen. Dessutom är de värdefulla verktyg för att förbättra kommunikationen mellan tandtekniker och tandläkare. Tack vare modellen (mock-up), som patienten kan bära i munnen i flera månader, kan tandteknikern samla in all information som krävs för att tillverka den slutliga protesen utan att skada de naturliga tänderna. I det aktuella fallet frästes de två modellerna i plastmaterialiet Multistratum® Flexible och användes sedan endast för att kontrollera funktionella, fonetiska och estetiska aspekter i patientens mun.
- Modelldesign i Zirkonzahn.Modifier
- Modeller frästa av Multistratum® Flexible, med naturlig färggradient
Andra kontrollsteget
Efter en minimalinvasiv preparation av tandstrukturen digitaliserade tandläkaren på nytt den kliniska situationen. Därefter utformades 28 enskilda kronor på laboratoriet och frästes ut från den röntgensynliga plasten Exmon Basic X-Ray. Med detta material kan passformen för rekonstruktionen kontrolleras i patientens mun med hjälp av röntgen. Detta ytterligare kontrollsteg bidrog till att förhindra fel och möjliggjorde justeringar under tillverkningen av den slutliga restaurationen. Under detta steg framställdes även individuella modeller med P4000-systemet för 3D-utskrift. Systemet har förkonfigurerade inställningar och inkluderar skrivare, programvara, härdningslampa och plast för att underlätta arbetsprocessen.

Tandpreparation i överkäken

Kronor av Exmon Basic X-ray (vänster). Områden som har setts på röntgen och ska korrigeras (höger)
Tredje kontrollsteget
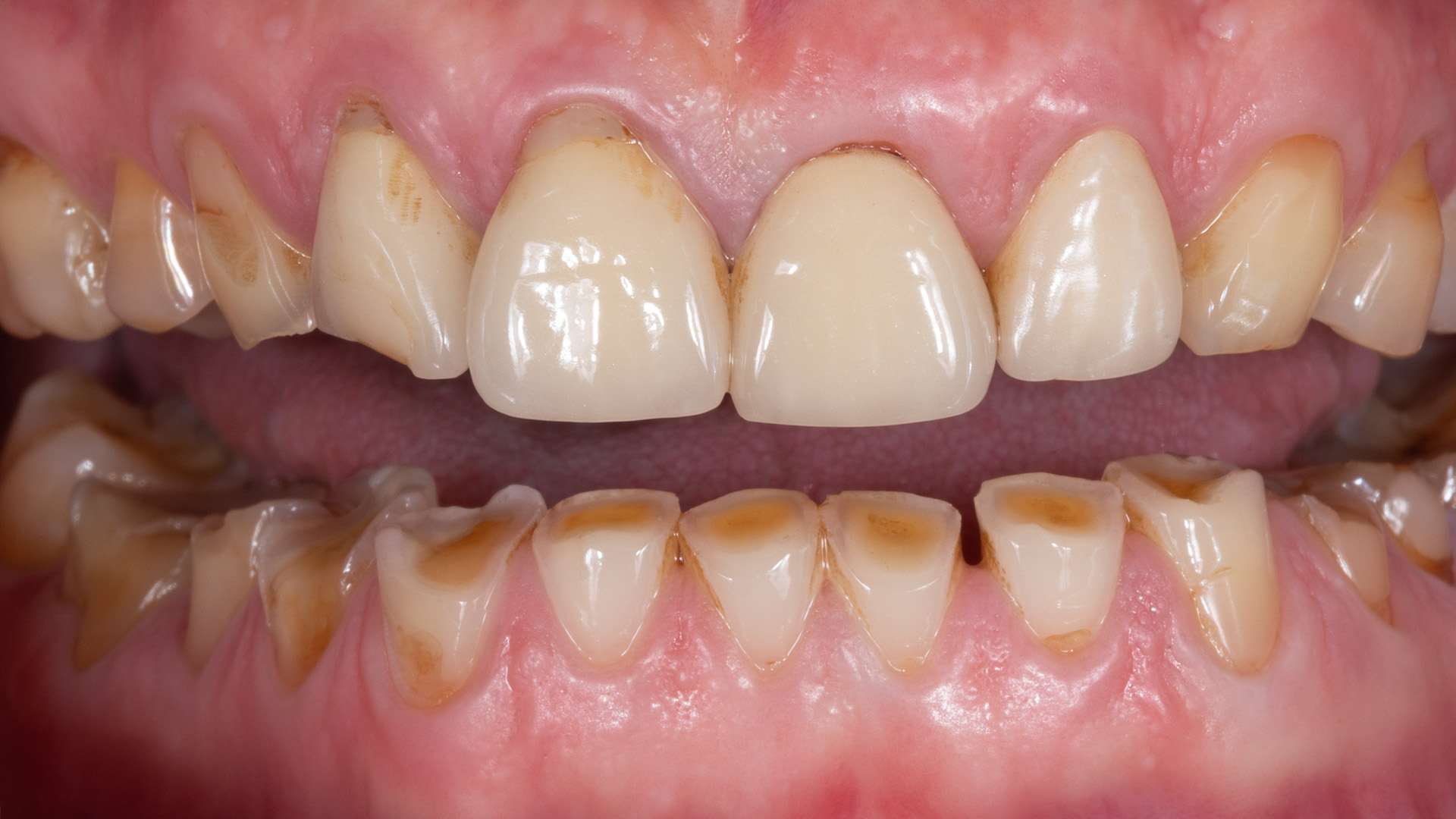
De 28 enskilda kronorna sattes samman med hjälp av flera broar och därefter tillverkades provisorier av plasten Prime Multistratum®. Denna PMMA-baserade plast, med en naturlig färggradient från dentin till emalj, visar förbättrade materialegenskaper när det gäller värden för transparens, hög böjstyrka samt fraktur- och abrasionsresistens, är en idealisk lösning för tillverkning av långvariga temporära restaurationer samt olika typer av sekundära och tertiära strukturer. Patienten använde provisoriet tills den slutliga restaurationen av zirkoniumdioxid installerades.
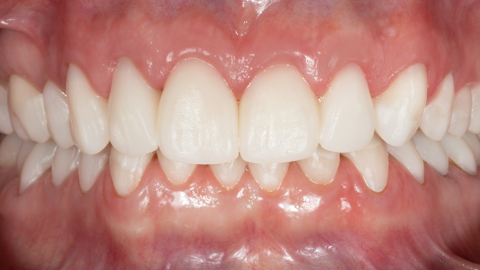
Initial situation (övre bilder); patient med provisorier tillverkade av Prime Multistratum® fram till installationen av den slutliga restaurationen av zirkoniumdioxid (nedre bilder)
För mer information besök www.zirkonzahn.com
Källa: Zirkonzahn











