Artikeln är gjord i samarbete med en av Dental24s samarbetspartners.
Från klinisk frustration till metodskifte – Tandläkaren Johan Hagman om tio år med Bioclear
Sekundärkaries är i dag en av de vanligaste orsakerna till att fyllningar behöver ersättas. I år är det tio år sedan Johan började arbeta med Bioclear anatomiska matriser. Jubileet sammanfaller med ett ökat internationellt fokus på metoden och med Bioclear Summit i Stockholm i april, där kliniska erfarenheter och långsiktiga resultat står i centrum.
Johan Hagman
Till mötet kommer även grundare för Bioclear, Dr. David Clark, som kommer att föreläsa och presentera sina senaste vidareutvecklingar inom matristeknik, bland annat de nya Tooth Surface and Specific (TSS) matriser, en vidareutveckling av Bioclear anteriora matriser.
– Den främsta orsaken till att vi gör fyllningar i dag är att gamla kompositfyllningar utvecklar sekundärkaries. Vi har en pandemi av dåliga kompositfyllningar, säger tandläkare Johan Hagman.
När etablerade undervisningsmetoder inte räckte till
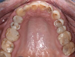
En typisk mun efter 30 år med komposit. Patienten lider av food impaction och är trött på att få göra om fyllningar varje år. Bild: Johan Hagman
Johan beskriver hur han under flera år arbetade enligt de metoder för kompositfyllningar som lärs ut på tandläkarhögskolan, men trots detta såg återkommande kliniska problem.
– Jag följde de instruktioner som lärts ut och gjorde det man förväntas göra. Ändå såg jag efter en tid att restaureringarna fallerade. Ibland frakturerade fyllningarna eller så utvecklades sekundärkaries, säger han.
Erfarenheterna ledde till ett gradvis ifrågasättande av om problemen enbart kunde förklaras av operatörsteknik eller materialval. Det var i detta skede som Johan introducerades för Bioclear-metoden, ett arbetssätt som på ett mer systematiskt sätt tog hänsyn till kompositmaterialets egenskaper, förutsättningar och begränsningar.
Materialegenskaper som kräver ett annat arbetssätt
Ett centralt resonemang inom Bioclear är att mycket av dagens matrisinstrumentarium och preparationstekniker har sitt ursprung i amalgamteknik.
– Metallmatriser är i grunden konstruerade för amalgam, ett material som beter sig fundamentalt annorlunda än komposit, till exempel går det inte att packa komposit som man gjorde med amalgam, då fungerade metallmatriserna.
Kompositmaterial, även de mest högkvalitativa material som finns tillgängliga i dag, har däremot en inneboende polymerisationskrympning. Trots att kompositerna successivt har förbättrats kvarstår detta grundläggande materialbeteende.
– Oavsett hur bra kompositen är kommer den att krympa. Materialen blir bättre och bättre, men de krymper fortfarande.
Samtidigt används ofta samma preparationsteknik som för amalgam, exempelvis lådformade preparationer , s.k. G.V.Black preparation, med hög C-faktor. Enligt Johan skapar detta en problematisk situation vid kompositrestaureringar.
– När man kombinerar hög C-faktor med komposit är risken stor att något av två saker händer: antingen släpper kompositen från tandväggen, eller så ”böjer man” kuspen.
Anatomiska matriser och kontrollerad formgivning
Bioclear-metoden utgår i stället från kompositens egenskaper. Bioclear-matriserna är anatomiskt utformade och möjliggör skapandet av breda kontaktytor snarare än punktkontakter.
– Med anatomiska matriser får man kontrollerade kontaktytor med god form och stabilitet.
Matriserna är dessutom transparenta och tillverkade i plastmaterial, vilket möjliggör ljushärdning genom matrisen – något som inte är möjligt med traditionella metallmatriser.
– Det ger bättre polymerisation, särskilt cervikalt och på djupet.
Efter tio års klinisk användning menar Johan att skillnaden framför allt blir tydlig i kvaliteten på anslutningen och ytan.
– Det går inte att få en lika fin cervikal anslutning, anatomisk form och blank, polerad yta approximant med andra matriser. Dessutom undviker man överskott cervikalt, vilket ofta är ett känsligt område med den äldre tekniken.
Med Bioclear metoden – anatomiskt korrekt restauration utan kompositöverskott eller food impaction Bild: Johan Hagman
Täta restaureringar och pulpasparande behandling
Det som Johan själv beskriver som den mest betydelsefulla konsekvensen av arbetet med Bioclear handlar om möjligheten att behandla tänder med djupa kariesskador på ett mer vävnadsbevarande sätt.
– Det här är det jag brinner mest för.
Enligt Johan har Bioclear-metodens täta anslutningar skapat förutsättningar för att arbeta mer konsekvent med selektiv kariesexkavering, där kariesskadad dentin nära pulpan lämnas kvar för att undvika pulpaexponering.
– Jag har studerat detta ingående och det finns ett stort antal studier som visar att om man lämnar karies nära pulpan men försluter tätt, så utvecklas inte sjukdomen vidare, säger han.
I dessa fall kan kariessjukdomen enligt Johan avstanna när den inkapslas under en tät restauration.
– Förutsättningen är att tanden är asymptomatisk och att förslutningen verkligen är tät.
Detta har lett till ett tydligt kliniskt förhållningssätt.
– Tandläkarens viktigaste uppgift i de här fallen är att inte borra i pulpan.
Klinisk erfarenhet, undervisning och erkännande
Parallellt med det kliniska arbetet har Johan under åren varit aktiv inom fortbildning. I dag är han en välkänd föreläsare inom Bioclear-tekniken och har föreläst för över 1400 tandläkare, både nationellt och internationellt.
För sina insatser inom området har han tilldelats Kvalitetshjärtat, som ett erkännande för arbetet med estetiska och långsiktigt hållbara fyllningsterapier och Sverkerpriset för sin utbildningsinsats.
– Fokus har alltid varit att skapa restaureringar som fungerar över tid, både biologiskt och estetiskt.
Klinisk utveckling i fokus
Erfarenheterna från tio års kliniskt arbete med Bioclear är också bakgrunden till Johans medverkan vid Bioclear Summit i Stockholm i april, där han kommer att föreläsa tillsammans med flera erfarna kollegor inom Bioclear-metoden.
– Det är värdefullt att samla kliniker som arbetar långsiktigt med metoden och dela vad som faktiskt fungerar i vardagen.
Enligt Johan är fortbildning och erfarenhetsutbyte avgörande för den kliniska utvecklingen.
– Vill man utvecklas som kliniker, fördjupa sitt kliniska tänkande och förbättra sina resultat, är Bioclear Summit ett tillfälle att ta vara på, avslutar Johan Hagman. Läs mer och anmäl dig till Bioclear Summit här