Denna artikel är en annons och utgör inte en del av Dental24s redaktionella innehåll.
Övertygande blekningsresultat med Opalescence Go
Protokoll för tandblekning kan vara lika komplicerade som valet av lämpligt blekmedel. När patienter med missfärgade tänder behöver en flexibel, bekväm och okomplicerad kosmetisk blekningsbehandling heter alltid lösningen i vår tandläkarpraktik Opalescence Go blekgel.
Skälen är enkla och kräver ingen förklaring: blekgelen med 6% väteperoxid är färdig för användning direkt från paketet. Det är ett pålitligt material tack vare dess enkla hantering, korta behandlingstid och förbluffande resultat. Opalescence Go blekgel är idealisk för nästan alla patienter så länge som de inte har för många restaurationer i det anteriora området, vilka naturligtvis inte kan blekas.

Fig. 1. Opalescence Go blekgel, kit med 10 förfyllda UltraFit skenor.
Vi får regelbundet mycket positiv feedback från glada patienter som fått ett vitare och mer lysande leende tack vare Opalescence Go blekgel. De förfyllda UltraFit-skenorna finns i kit om 10 över- och underkäksskenor (fig. 1). Patienterna kan lätt placera skenorna i munnen och blekningsprocessen kan börja omedelbart (fig. 2)
Innan vi startar blekningsprotokollet får våra patienter en professionell tandrengöring för att avlägsna fläckar, plack och ytliga missfärgningar. Sedan visar vi dem först på praktiken hur man använder Opalescence Go tandblekning på rätt sätt:
- Efter tandborstning ska Opalescence Go:s speciella UltraFit skenor bäras i 60-90 minuter.
- Efter att ha fått instruktioner på praktiken kan patienten fortsätta blekningsprocessen hemma, normalt med en skena per dag tills resultat uppnåtts. Vanligtvis räcker det med 5-10 skenor.
- Tack var PF-formeln (kaliumnitrat och fluorid) är Opalescence tandblekningsgel mycket varsam. Sensibilitet uppstår väldigt sällan. I sådana fall kan fluoridlack eller fluoridgel användas under och efter behandlingen.

Fig. 2. Patient med UltraFit skenor.

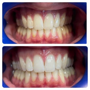
Fig. 3. Före och efter blekningsbehandlingen med Opalescence Go tandblekning.
Om några UltraFit skenor finns över efter att patienten nått önskat blekningsresultat, kan de förvaras i kylen och användas senare för en snabb uppfräschning.
Ett kit Opalescence Go tandblekning innehåller dessutom Opalescence whitening tandkräm, som kan medverka till att den ljusa färgen behålls över tid.
Fig. 3 visar en 24-årig manlig patient före och efter en blekningsbehandling med Opalescence Go tandblekning. Efter sju dagar uppnåddes ett fint resultat och patienten var nöjd med sitt nya naturliga leende. Så han kan använda de tre återstående skenorna senare – om det skulle bli nödvändigt.
Opalescence blekningssystem har funnits i årtionden. Därför är det välkänt, både av patienter och tandläkare. Opalescence tandblekning är bara tillgänglig i tandläkarpraktiken, något som hjälper oss att vinna våra patienters förtroende.
Om författaren

Leg. tandläkare
Sara Jalili,
Ensjø Tannklinikk Oslo, Norge





