Artikeln är gjord i samarbete med en av Dental24s samarbetspartners.
Avtagbara och fasta zirkoniumdioxidrestaurationer: Minimalt invasiv totalrehabilitering
I detta fall genomfördes en total protetisk rehabilitering med en avtagbar helprotes i överkäken och fasta restaurationer (fasader och broar) i underkäken, alla i zirkoniumdioxid. Behandlingen bygger på en minimalt invasiv, estetiskt tilltalande och långsiktigt hållbar strategi, möjliggjord genom tillämpning av Zirkonzahns digitala arbetsflöde och moderna material i zirkoniumdioxid. Genom att kombinera digital planering, högprecisionsfräsning och avancerad efterbehandling kunde både funktion och estetik optimeras – samtidigt som befintlig tandsubstans bevarades och parodontal hälsa säkerställdes.
”Med min nya tandrestaurationer känner jag inte längre något främmande i munnen. Jag kan äntligen le utan att hålla tillbaka – en fantastisk känsla!”
Utgångsläge
Patienten hade en avtagbar protes i överkäken och partiell tandlöshet i den posteriora delen av underkäken (1). I underkäkens frontala område förekom uttalad tandmigration. Det primära målet var att tillhandahålla en protetisk lösning som säkerställde förbättrad stabilitet, estetik och långsiktig hållbarhet.

(1)
Behandlingsplan: Estetiskt och konservativt tillvägagångssätt
Styrd av principerna för minimalt invasiv tandvård fokuserade behandlingsplanen på att bevara frisk tandsubstans samtidigt som funktion och estetik uppnåddes. Beslutet fattades att behålla en avtagbar helprotes i överkäken, helt tillverkad i zirkoniumdioxid, och att rehabilitera underkäken med zirkoniumdioxidfasader och posteriora broar. Istället för helkronor valdes zirkoniumdioxidfasader för de nedre framtänderna för att maximera bevarandet av emaljsubstansen. Detta tillvägagångssätt minimerar risken för pulpasymtom och undviker potentiella endodontiska ingrepp. Helprotesen i zirkoniumdioxid tillverkades med det innovativa Florence Zircoprox® Denture System, som kombinerar fördelarna med en avtagbar protes med de biomekaniska och hygieniska egenskaperna hos zirkoniumdioxid.
Fördelar med helproteser i zirkoniumdioxid
Användningen av helproteser i zirkoniumdioxid erbjuder flera kliniska fördelar:
• Precisionsanpassning genom CAD/CAM-fräsning, vilket minimerar rörelse och obehag
• Förbättrad kraftfördelning, vilket minskar alveolär benresorption
• Hög motståndskraft mot fläckar och slitage, vilket sänker underhållskostnaderna
• Hög beständighet hos patienter med parafunktionella vanor såsom bruxism
• Snabbare leveranstider tack vare digitala produktionsmetoder
Utformning och ytbehandling av fasader
Zirkoniumdioxidfasaderna preparerades med knivskarpa marginal och sträckte sig subgingivalt, med sömlös estetisk övergång. Alla marginaler i kontakt med gingivan polerades för hand med gummihjul i stället för att glaseras, för att främja mjukvävnadsanpassning och minska plackansamling. Denna metod bidrar till att bibehålla parodontal hälsa och minimerar inflammation. Samma manuella poleringsprotokoll tillämpades på ocklusalkontakter för att minska abrasivt slitage och optimera funktion över tid. Denna konservativa teknik säkerställde maximal bevarande av naturlig tandstruktur utan att kompromissa med estetiken.
Integrering i det digitala arbetsflödet
Hela behandlingen planerades med hjälp av Zirkonzahns digitala arbetsflöde, vilket omfattade:
• Intraoral scanning med intraoralscannern Detection Eye
• Digital artikulation baserad på 2D-ansiktsfotografier i linje med intraorala scanningar
• Virtuell tanduppsättning med tandformen HERMES från tandbiblioteket Heroes Collection (2)

(2)
• Framställning av provmodeller och slutliga restaurationer med Zirkonzahns CAD/CAM-system
• 3D-resinmodeller för exakt inprovning och verifiering
• Artikulatorpositionering via JawAligner-systemet
Även om 3D-ansiktsscanning hade kunnat användas visar detta fall att mycket goda resultat kan uppnås med standardverktyg som finns tillgängliga i de flesta tandläkarmottagningar och laboratorier.
Steg-för-steg-protokoll
1. Intraoral scanning av patienten och den gamla protesen
2. Digital matchning med 2D-ansiktsbilder och virtuell artikulation
3. Virtuell tanduppsättning och estetisk individualisering (3)

(3)
4. Framställning av en temporär överkäksprotes i Abro® Basic Multistratum® och Denture Gingiva Basic Mono Pink (nästan monomerfri)
5. Design av provmodeller i resin för underkäken för validering (4)

(4)
6. Framställning av de definitiva restaurationerna: • För underkäken: fasader i Prettau® 4 Anterior® Dispersive® och posteriora broar i Prettau® 2 Dispersive® (5)
• För överkäken: primärstruktur i Prettau®-zirkoniumdioxid och sekundärstruktur i Prettau® 4 Anterior® Dispersive®, sammansatta med Fusion Powder® och med en digitalt designad positioneringsnyckel

(5)
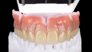
8. Estetisk ytbehandling med Prettau® Aquarell Boost® Colour Liquid och Fresco Ceramics (6, 7)


(6, 7)
9. Slutlig cementering och leverans av alla restaurationer (8, 9)


(8, 9)
Fall av:
Dr. med. dent. Clara Zanini – Sydtyrolen, Italien
Tandtekniker Mattia Santarelli – Zirkonzahn Education Center Bruneck, Sydtyrolen, Italien




